
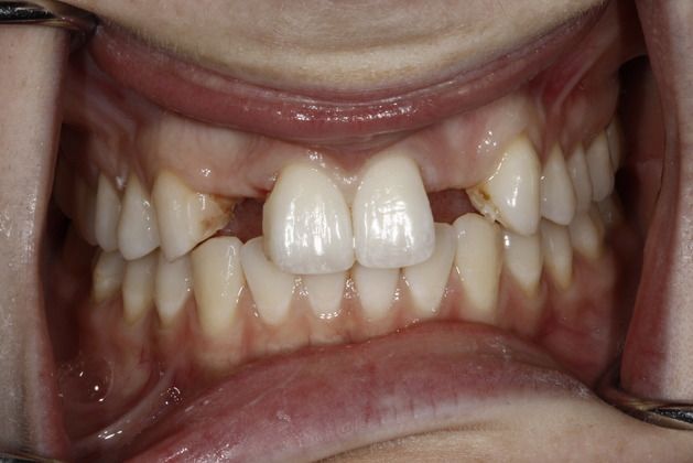
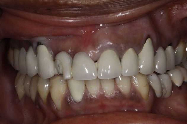
Restorative Dentistry
Read Our 5-Star Reviews
"Thankful For Their Prompt Services"
I’ve been going here for 2yrs now and every time I’m there everyone is very friendly and professional . Dr. S is extremely gentle. He’s the best dentist I’ve ever been to! I recommend him to everyone I know.
View on GoogleI had an emergency while on vocation in New York, I call Brooklyn Heights Dental and they we able to fit me with an appointment. The staff was amazing and the doctor was well knowledgeable and experience I’m so great full and thankful for their prompt services.
View on Google
Interested in Finding Out the Cost of Treatment?
Contact Brooklyn Heights Dental®
It's understandable that patients want to know what their dental treatment options will cost before committing to a plan. But the only way for us to give you an accurate quote is by meeting with us at our Brooklyn practice so we can determine the full scope of treatment that is needed to achieve your goals.
Contact our dentistry practice online to ask a question or request an appointment so our dentists can develop a personalized plan and discuss your various options. We serve patients in Fort Greene and other areas of Brooklyn at Brooklyn Heights Dental®. You can also reach us by phone.

Paying for Treatment
Most restorative procedures are at least partially covered by dental insurance. We offer a number of flexible payment options and also accept financing and all major credit cards. Some patients may qualify to use a flexible spending account (FSA) to pay for part of their treatment plan. We also accept checks and cash.
Restorative Dentistry Treatments
Dental Implants
Dr. Stanislaus and our caring and experienced staff provide replacements for missing teeth that look and feel just like your own natural teeth. Dental implants have truly revolutionized restorative dentistry, allowing our Brooklyn Heights team to provide a permanent solution for missing teeth.
Dental Crowns
When a tooth is cracked, chipped, or otherwise damaged, dental crowns can help provide the protection necessary to restore and preserve its functional abilities and aesthetic appeal. We provide durable, natural-looking crowns to restore your smile with optimal aesthetics.
Dental Bridges
Dental bridges offer patients a restorative dentistry procedure that is both functional and cosmetically pleasing. A dental bridge is made up of a false tooth and two supporting crowns which are placed over the adjacent teeth, providing a strong and lasting dental restoration. We also offer implant-supported bridges.
Inlays and Onlays
Dental inlays and onlays are typically used when a tooth has a moderate amount of decay that is too large for a filling, or if a tooth is cracked but not severe enough to require the placement of a dental crown. Dental inlays and onlays are made of porcelain or gold for long-lasting support.
Invisalign
Although Invisalign® isn't typically considered a restorative treatment, improving your dental alignment can make it easier to keep the teeth clean and improve oral comfort. In some cases, it may be included in your restorative dentistry treatment plan.
Dentures
Our practice offers full dentures and partial dentures for patients suffering from tooth loss. We can provide both traditional and implant-supported restorations to help our patients restore their smiles with the best restorative option for their unique needs.
Full Arch Dental Implants
Full Arch Dental Implants (also know as hybrid) offer patients a secure, tight-gripping, flawlessly fitting solution to missing teeth. The innovative prosthetic is customized for each patient, yielding natural-looking, seamless results that improve the health and beauty of their smiles for years to come.
Full Mouth Reconstruction
For patients who are experiencing severe dental problems, a full mouth restoration at our Brooklyn Heights practice can help. This treatment combines multiple restorative dentistry procedures to simultaneously address problems related to the health, appearance, and function of your smile. It may also involve the use of some cosmetic dentistry treatments to further enhance your confidence.
Are You a Candidate?
Unlike our cosmetic dentistry options, which address aesthetic imperfections and surface concerns, the goal of our restorative treatments is to address a number of oral issues for our Brooklyn patients including:
- Minor to severe cavities
- Root canal infection
- Gum disease
- Missing teeth
- Cracked or broken teeth
- Gum recession
- TMJ disorder
- Dental misalignment
What Is Restorative Dentistry?
Causes of Damaged Teeth
Extensive decay (such as cavities or root canal infection), gum disease, temporomandibular joint (TMJ) disorder, or trauma can have negative health consequences and affect your appearance.
Effects of Poor Oral Health
Severely damaged teeth can lead to tooth loss, premature wear, and gum recession, as well as increased risk for serious health conditions such as heart disease, high blood pressure, and diabetes.
Restorative Dentistry Benefits
Through personalized restorative treatments, our patients can rediscover a more comfortable smile along with restored functionality and better overall function. Restorative dentistry treatments provide many benefits, including:
- Improved oral health
- More attractive smile
- Enhanced enunciation
- Boosted self-confidence
Read More 5-Star Reviews "This Is the Place You Want to Be"
Honestly- there are not enough words to detail how GREAT Brooklyn Heights Dental, Dr. Stanley and his staff are. From my very first visit- I was comfortable, tended to, and had every single question answered. I just finished my first of 2 procedures and everything is healing great. If you are looking through reviews to find the best place to go - LOOK NO FURTHER. This is the place you want to be.
View on GoogleThe Staff was very attentive, understanding, professional and took their time. I didn’t feel like a number I felt like an actual person that knew them for years. I felt very comfortable getting my dental implant. The Dentist and dental assistant can see I was nervous and kept asking me if I was ok and telling me I’m doing doing great. I was a big baby in that chair and wasn’t judge. I had a great experience.
View on Google













